20. C is the correct answer. HSP usually presents with a fever, abdominal pain, and arthralgias usually in pediatric patients. Minimal change disease and idiopathic thrombocytopenia typically does not present with a fever. Post streptococcal glomerulonephritis does not produce a rash such as this.
Wednesday, February 13, 2013
Question 20
20. Your patient is a 11 year old male who presents with abdominal pain, arthralgias, proteinuria, hematuria, and RBC casts. He also has the rash seen below? What is the likely diagnosis?
A. Post Streptococcal Glomerulonephritis
B. Minimal Change Disease
C. Henoch Schonlein Purpura
D. Idiopathic Thrombocytopenia
A. Post Streptococcal Glomerulonephritis
B. Minimal Change Disease
C. Henoch Schonlein Purpura
D. Idiopathic Thrombocytopenia
Answer and Explanation 19
19. B is the correct answer. There are no specific treatments for primary amyloidosis. Prednisone, colchicine has been used but are not efficacious. Renal biopsy is often needed to make the diagnosis. Amyloidosis is characterized by the fibrillar deposits and their composition. The four types are primary, secondary, hereditary, and dialysis associated amyloidosis.
Question 19
19. Which of the following is not true regarding systemic amyloidosis?
A. Renal insufficiency is present in approximately 50% of the patients and the most common cause of death is heart failure with a median survival of 4 months.
B. Patients usually have a good response to prednisone
C. Amyloidosis is characterized by the fibrillar deposits and their composition
D. Diagnosis often has to be made by renal biopsy
A. Renal insufficiency is present in approximately 50% of the patients and the most common cause of death is heart failure with a median survival of 4 months.
B. Patients usually have a good response to prednisone
C. Amyloidosis is characterized by the fibrillar deposits and their composition
D. Diagnosis often has to be made by renal biopsy
Tuesday, February 12, 2013
Answer and Explanation 18
18. The correct answer is B. FGS has normal complement levels. Heavy proteinuria, asymptomatic hematuria, and edema are present at the time of diagnosis. 40 percent of patients with kidney transplant can have relapses of FCS. Two thirds of the patients with FGS can progress to chronic renal failure.
Question 18
18. Which of the following is not a characteristic of Focal Glomerulosclerosis (FGS)?
A. Heavy proteinuria, asymptomatic hematuria, and edema are present at the time of diagnosis
B. Complement levels are usually elevated
C. Approximately one third of patients respond to corticosteroid therapy, but 60-70% can progress to chronic renal failure
D. Patients with kidney transplants can have reoccurrence
A. Heavy proteinuria, asymptomatic hematuria, and edema are present at the time of diagnosis
B. Complement levels are usually elevated
C. Approximately one third of patients respond to corticosteroid therapy, but 60-70% can progress to chronic renal failure
D. Patients with kidney transplants can have reoccurrence
Answer and Explanation 17
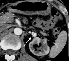
17. C is the correct answer. The natural diagnostic trap is to fall in to considering the most common things. Kidney stones are certainly more common. Remember you can have an AAA dissect into the renal artery and kidney causing hematuria. Polycystic kidney disease does not have this appearance in the kidney or vasculature.
Question 17
17. Your patient is a 44 year old male that presents with left sided flank pain and hematuria. His CT scan is below. Which of the following is his diagnosis?
A. Kidney Stone
B. Renal Carcinoma
C. Renal Artery Dissection
D. Polycystic Kidney Disease
A. Kidney Stone
B. Renal Carcinoma
C. Renal Artery Dissection
D. Polycystic Kidney Disease
Answer and Explanation 16
16. C is the correct answer. This patient needs a work up for bladder cancer. Painless hematuria in this age group is cancer until proven otherwise. An INR really should not be considered unless the patient is on Coumadin or has a history or liver disease. An intravenous pyelogram would not be helpful or provide any useful clinical information.
Question 16
16. Your patient is an 74 year old male that present with hematuria that has been going on for 2 weeks. His urine micro and culture are essentially negative with the exception of >200 RBC in urine. The patient has normal renal function, CBC, CT scan of abdomen and pelvis, as well as a normal renal ultrasound. Which of the following is the most reasonable approach to this patient?
A. Check an INR for a coagulopathy
B. Check an intravenous pyelogram
C. Cystoscopy
D. Order a PSA
A. Check an INR for a coagulopathy
B. Check an intravenous pyelogram
C. Cystoscopy
D. Order a PSA
Subscribe to:
Comments (Atom)